Το Blog μας

Συμβουλές στοματικής υγιεινής και νέα από το ιατρείο μας.

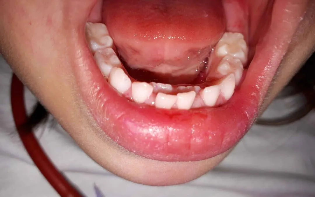
Παιδικά δόντια

Βοήθεια! Το παιδί μου έχει δύο σειρές δόντια!

Ανακαλύψατε δεύτερη σειρά δοντιών πίσω από τα νεογιλά; Μην πανικοβάλλεστε. Μάθετε γιατί συμβαίνει και πότε χρειάζεται παιδοδοντίατρο.

Χριστίνα Παυλίδου

Χριστίνα Παυλίδου

Παιδοδοντίατρος

Τερηδόνα

Τι είναι η τερηδόνα του θηλασμού;

Μάθετε τα πάντα για την τερηδόνα του θηλασμού, πώς προκαλείται από το γάλα τη νύχτα και πώς να προστατέψετε τα δόντια του μωρού σας.

Χριστίνα Παυλίδου

Χριστίνα Παυλίδου

Παιδοδοντίατρος

Το ιατρείο Full of Smiles

Χαρίστε στα παιδιά σας το χαμόγελο που τους αξίζει.

Δεν είμαστε απλά ένα οδοντιατρείο. Είμαστε ο λόγος που το παιδί σας θα αγαπήσει τη φροντίδα των δοντιών του.

🧸 Εξειδίκευση σε φοβικά παιδιά
Ηλεκτρονική Αναισθησία
🌿 Φιλικά & Ασφαλή Υλικά
🏆 25+ Χρόνια Εμπειρίας
Google Reviews
4.8 στα 5 Αστερια
500+ γονείς μας έχουν εμπιστευτεί
Κλείστε Ραντεβού